Cabinet du Dr Claire-Marie VALLERE successeur de Dr Bénédicte MONCEAUX
Pratique limitée à l'Orthodontie

Cabinet du Dr Claire-Marie VALLERE successeur de Dr Bénédicte MONCEAUX

Pratique limitée à l'Orthodontie

5 rue Gobet Boisselle 51000 Châlons en Champagne

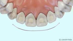
Fil de contention


video-play-icon

Articles similaires

Création par Webdentiste

Connexion